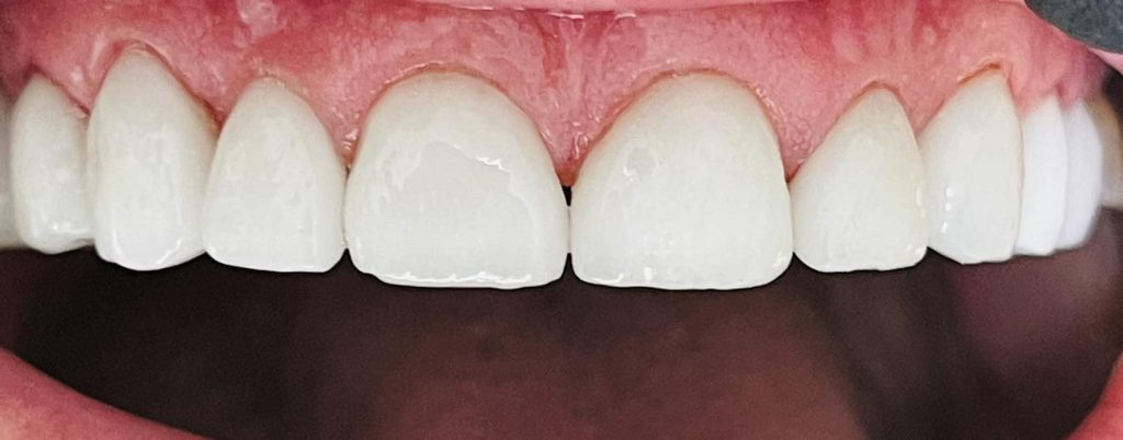
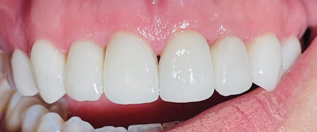
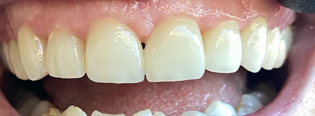
Un zâmbet frumos este fericirea sufletului tău, iar clinica M&M Dental Team îți poate aduce din nou zâmbetul pe buze. Faţetele dentare sunt alegerea potrivită, pentru a reda aspectul impecabil al dinților tăi. Aceste mici lucrări de artă, proiectate computerizat, fabricate prin tehnologii avansate şi finisate manual, imită perfect smalţul natural al dintelui.
Dr. Cristian Mina, medic specialist în ortodonție și ortopedie dento-facială recomandă fațetele dentare, o soluție în estetică modernă. Fațetele nu au doar rol estetic, ci și funcțional, îmbracă dintele și îl protejează, oferindu-i o rezistență mult mai mare. Reușita aplicării lor înseamnă o cimentare perfectă care să nu lase loc resturilor de mâncare să intre între dinți sau sub gingie.
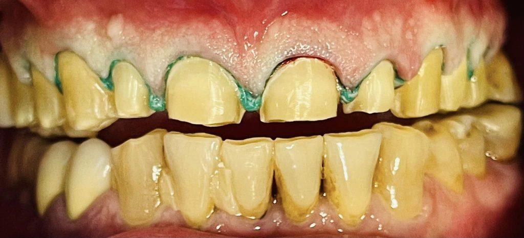
Culoarea acestora se stabileşte în funcţie de fizionomie şi culoarea celorlalţi dinţi rămaşi nefaţetaţi. În cazul în care, unul sau mai multi dinți au avut anumite probleme, precum: decolorare, apariția unor pete sau pur și simplu sunt nealiniați, atunci fațelele dentare sunt soluția potrivită pentru tine. Acestea pot fi utilizate pentru acoperirea unui singur dinte, sau a tuturor.
„Tehnologia utilizată pentru realizarea fațetelor dentare este foarte avansată, iar aceste aplicații sunt confecționate din mai multe tipuri de materiale. Astfel, există fațete realizate din porțelan sau ceramică presată, din disilicate de litiu sau zirconiu. Cele din urmă sunt cele mai rezistente însă nu la fel de estetice ca cele din ceramică sau porțelan. Acestea sunt utilizate mai ales pentru măsele.”, a explicat dr. Cristian Mina.




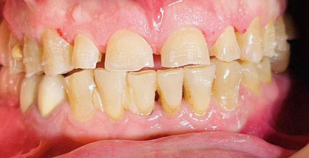
Medicul va prepara într-un anumit fel dintele, operațiune numită șlefuire. Procesul de șlefuire este o determinantă în reușita protetică, ce implică competențe și abilități personalizate ale medicului dentist.
Mai mult decât atât, în funcție de modul de aplicare, există două tipuri de fațete. Fațetele care nu necesită șlefuire sunt realizate din ceramică foarte subțire de 0.3 mm și se lipesc pe dinți. Acestea sunt recomandate atunci când dinții sunt drepți, sănătoși și îți dorești doar o ușoara alungire sau schimbare a formei acestora. De asemenea, dacă ai strungăreață, iar aparatul dentar nu este o soluție pentru tine, o poți acoperi cu ajutorul acestor fațete dentare. În cazul în care dinții tăi sunt galbeni sau sunt ciobiți, fațetele care nu necesită șlefuire sunt o opțiune foarte bună pentru tine.
Acestea sunt efectuate din porțelan și sunt cea mai modernă tehnică de înlocuire sau de îmbunătățire a zâmbetului. Mai mult decât atât, acestea pot oferi ocazia pacientului de a alege ce mărime, culoare sau formă își dorește, astfel încât rezultatul final să fie cel mult dorit. Cu atât mai mult, îți oferă posibilitatea de a opta pentru o culoare naturală, astfel încât nimeni să nu-și poată da seama că de fapt, dinții tăi au fost fațetați.
M&M Dental Team! Redescoperiți zâmbetul!
„Fațetele dentare sunt alcătuite din straturi foarte subțiri pentru a acoperi suprafața frontală a dinților naturali. În cazul în care unul dintre dinți a fost spart, crăpat, aceste fațete dentare îți vor reînnoi zâmbetul și îți vor reda încrederea in sine.” , susține medicul.


Dezavantajele tratamentului sunt mereu analizate de către medicul specialist, împreună cu pacientul. Dacă în unele cazuri este totuşi necesară o oarecare șlefuire, acesta este un procedeu minim invaziv, şlefuindu-se doar foarte puţin din smalţ, iar reacţia de sensibilizare locală este temporară, se tratează și dispare de la sine în maxim două săptămâni.

DR. CRISTIAN MINA, MEDIC SPECIALIST
- Specializarea ortodonție și ortopedie dento-facială, UMF Târgu Mureș, Estetică dentară, absolvent al studiilor de licență la Facultatea de Medicină Dentară a Universității Ovidius Constanța;
- 2020/2021, Absolvent al Programului Master Course Oral Implantology, în cadrul Universității Unicamillus din Roma, în parteneriat cu Institutul Stomatologic din Toscana și prezidat de Prof. Ugo Covani; teza disertație cu tema „Minimally invazive dental implant surgery” susținută în data de 21 ianuarie 2022.
- Adresa: Str. Onești, nr. 37, Constanța
- Telefon recepție: 0341 465 635; 0040725869561; 0341412549





